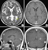
室管膜瘤(ependymoma)發生于腦室的室管膜細胞,占兒童中樞神經系統原發性腫瘤5%~10%。好發于后顱窩,約60%。5歲以下兒童多見。瘤體多位于腦室內,少數在腦室旁組織內,呈緩慢、浸潤性生長。瘤細胞亦可脫落于蛛網膜下腔產生播散性種植。
- 外文名:
- 就診科室:兒科
- 傳染性:無
- 多發群體:
- 常見病因:
- 常見癥狀:步態異常、共濟失調、顱縫裂開、嘔吐、前囟張力增高、眼球運動偏斜扭轉、頭痛、高顱壓綜合征、眼球震顫
- 人氣指數: 人
- 更新日期:2023.12.05 14:28
- 疾病介紹
疾病標簽:
-
小兒顱后窩室管膜瘤,小兒顱后窩室管膜瘤癥狀
版權聲明:
1、本站內容僅做參考,不能作為診斷及醫療的依據!
2、本文內容來源于網絡或會員發布,版權歸原網站所有。
3、本站僅提供信息展示,不承擔相關法律責任。





